子宮内膜間質肉腫 endometrial stromal sarcoma


体部細胞診のパパニコロー染色標本です。血性背景に重積性を伴った細胞集塊が出現し、配列の不整と核の大小不同、N/C比の増加が認められた。壊死性背景は見られず、悪性と断定する程の細胞異型ではないと判断し異型内膜増殖症を推定、病理組織検査による精査が必要と報告されました。

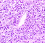
HE染色による組織標本では内膜の上皮が少量認められ核の腫大が認められるものの明らかな増生は示しておりません。主に間質部分の増生からなっており、個々の細胞のN/Cは高く小型核小体が認められます。

少数の多核細胞や大型細胞を認め、また核分裂像も散見されます。脈管への浸潤もあり悪性と考えらるが特徴の乏しい像でoriginの同定が困難な像です。内膜間質腫瘍の他未分化癌、脂肪肉腫や血管系腫瘍との鑑別診断が必要とされました。そこでorigin同定のため免疫染色を実施致しました。

腫瘍細胞の大部分が間葉系細胞のマーカーであるビメンチンに陽性を示しました。その他筋肉特異的アクチンであるHHF-35と平滑筋特異的アクチンであるαSMAには陰性で、腫瘍細胞の由来として筋原性のものは否定的です。また幼弱な骨髄系細胞や間葉系細胞、および血管内皮細胞に認められるCD34も陰性で、solitary fibrous tumor などの未分化な間葉系腫瘍も否定されます。上皮細胞のマーカーであるEMAも陰性でした。以上の結果と腫瘍細胞の形態、および核分裂像が強拡大において10視野中10個以上認められることから高悪性度、子宮内膜間質肉腫と診断されました。

 

異型内膜増殖症と判定された体部細胞診の標本を詳細に観察仕直すと正常内膜間質細胞に類似した細胞に異型性のある事が見つかりました。核の肥大した上皮様細胞集塊の他に小型であるが散在する間質細胞に核異型を示す細胞が見られます。

 

密に結合した集塊においても細胞境界は不明瞭で上皮性結合を示さず、N/C比の増加、クロマチンの増量および核分裂像を伴った間質細胞の集塊を認めます。

 

このような多核で不整形核を持った多形性のある異型細胞も一部に認められました。

 

 

数少ないが、特徴的とも言われる核の周りを完全に取り囲んでいない先細りの細胞質を持った所謂、ほうき星細胞と考えられる核異型の明らかな細胞も見られました。このようにレトロスペクティブに見ると判定は非常に困難であるが体部細胞診においても間質系の腫瘍を疑うことが出来たのではないかと考えられます。